recoveryshake.com
HOME
About
Contact
Disclaimer
Privacy
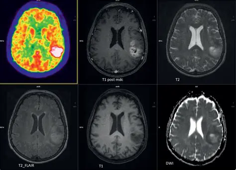
Benefits of MRI in Diagnosing Brain Tumors
Oct 13, 2025
by recoveryshake.com
129
views