recoveryshake.com
HOME
About
Contact
Disclaimer
Privacy
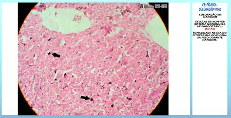
Tecido conjuntivo reticular
Oct 13, 2025
by recoveryshake.com
115
views